【症例】プラスチックの詰め物から虫歯が再発した歯の修復治療

2025.10.18
| 治療内容 | セラミックを用いた修復治療 |
|---|---|
| 期間 | 2週間 |
| 治療回数 | 2回 |
| 費用(施術当時の料金) | セラミックの被せ物 66,000円(税込) |
治療前の状態・主訴
今回の症例の患者様は歯ぐきが腫れていて、歯ブラシをすると出血するとのことで来院されました。
お口を見ると、歯ぐきの周囲に歯垢がたまり、赤みを帯びていました。
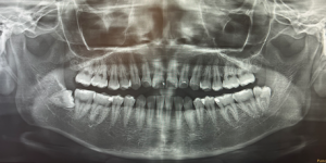
エックス線での撮影後、歯周病の検査を行い、以下の項目をチェックしました。
・歯周ポケットの深さ
・歯の揺れ
・磨き残しの付着度合い
その後エックス線をよく確認したところ、歯と歯の間の複数箇所に虫歯があり、プラスチックで治療した痕(白い部位)がありました。
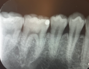
プラスチックは茶色く変色し、縁は黒ずんでいます。歯と歯の間は、凹んでいるためフロスも通しづらい状態でした。さらに詳しく調べるために口腔内エックス線も撮影し、詰め物の大きさを確認することにしました。
以上の検査から、主訴である「歯ぐき」だけではなく、「歯」も穴が空き、虫歯が進行していることがわかりました。




治療詳細
1日目 プラスチックを除去し、虫歯の部位を染める「うしょく検知液」で染色ながら虫歯を取り除いていきました。型取りを行い仮の材料を充填しました。
2日目 出来上がってきたセラミックを接着性セメントで装着しました。
治療後の様子
患者様は、以前のプラスチックでの治療後、フロスが通しにくいことや、毎回歯ぐきから出血することが気になっていたそうです。また、プラスチックの劣化により虫歯が再発していたため、当時の選択を後悔されていました。
今回、虫歯の再発を防ぐにはどうしたら良いか、歯科材料のメリットとデメリットを聞いた上で「ベストな選択ができて良かった」とおっしゃっていました。

主な副作用・リスク
・噛み合わせの違和感:
装着した直後は噛み合わせの高さや形態が合わず、違和感を覚えることがあります。
・破損、脱離:
歯ぎしりやくいしばりがあると、詰め物の一部または全てが欠けることがあります。
プラスチック(コンポジットレジン)のメリット・デメリット
今回はプラスチックからセラミックへ変更した症例をご紹介しましたが、一般的に歯の修復治療を受ける際、「保険適応か、保険適応外か」を考えて選択される患者様が多いです。現在、歯科材料は多様化しており、《保険=銀歯、保険適応外=セラミック》のような従来の考え方には当てはまらなくなってきています。
保険適応のプラスチック(歯科用コンポジットレジン)の材料も選択肢の1つです。プラスチックには以下のようなメリットがあります。
メリット① 保険が適応される
前歯の歯と歯の間によく使われてあり、虫歯の大きさによっては1回で治療が完了することがあります。数種類の色から一番近い色を選んで使用しています。
しかし、以下のようなデメリットもあることを理解しておく必要があります。
デメリット① 歯垢が付きやすい
表面は凸凹しているため歯垢がたまりやすく、歯との段差から二次的に虫歯が再発しやすいと言われています。
デメリット② 経年的に劣化し、変色していく
水分を吸収するため、唾液(つば)によって劣化していき、変色します。
デメリット③ 耐久性が非常に低い
奥歯の噛む力がかかる部位では比較的短期間に再治療になってしまうことが多いです。
プラスチックにはこのような特徴があります。虫歯の大きさや場所、治療に求める優先順位によって、適した材料は変わってきます。それぞれの材料の特性を理解した上で、患者様に合った選択をすることが重要です。今回の症例では、虫歯の再発を防ぐためにセラミックを選択されました。
センター南デンタルクリニックでは、ご相談に対して様々な選択肢を提示し、治療のメリットやデメリットをしっかりとご説明しております。ご理解し、納得された上で治療をすすめてまいりますので、どうぞお気軽にご相談ください。
センター南デンタルクリニック
院長 吉竹絵里
こちらもご参照ください。
