【症例】外れてしまった前歯の差し歯をジルコニアセラミックで修復

2025.11.01
| 治療内容 | ジルコニアセラミックで連結した前歯の修復治療 |
|---|---|
| 期間 | 2ヶ月半 |
| 治療回数 | 10回 |
| 費用(施術当時の料金) | ・ジルコニアセラミック 132,000円(税込)×2本=264,000円(税込) ・仮歯 5500円(税込)×2本=11,000円 (税込) |
治療前の状態・主訴
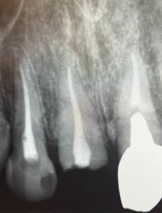
患者様は、数十年前に治療した前歯が2日前からグラグラするとのことから来院されました。
診察をしたところ、右上の差し歯は被せ物と一緒に歯が折れていましたが、幸いにも、歯根が割れていないことがわかりました。外れた差し歯の隣もすでに神経がなく、灰色に変色していました。患者様は、これを機に、右上2本を被せなおしたいとのご希望でした。


治療詳細
1日目 応急処置で仮歯を作成しました。
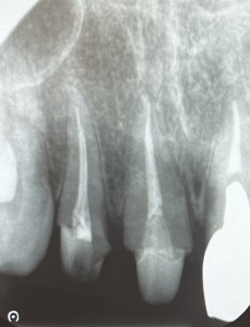
2日目〜5日目 右上1番の根管治療を行い、土台を立てました。
6日目〜7日目 右上2番の根管治療を行い、土台を立てました。
8日目 2本の型取り、色合わせの写真撮影を行いました。
9日目〜10日目 出来上がった被せ物を一度仮付けし、色や形を確認した後に装着しました。
治療後の様子
患者様は何十年振りに前歯をやりかえることになり、どんな被せ物ができてくるのかドキドキしていたそうです。色合わせや形までオーダーメイドで作ることがで きて、大変満足されていらっしゃいました。


主な副作用・リスク
・装着した直後は噛み合わせの高さが合わず、違和感を覚える場合があります。
・歯ぎしりやくいしばりがあると、被せ物の一部もしくは全てが欠けることがあります。
・時間が経過してから、歯と被せ物の間に虫歯ができるリスクがあります。
歯科材料の選択について
近年、従来のセラミックと比べて、10倍の硬さを持つ「ジルコニア」が注目されています。
金属と比べられるほど高強度であり、従来のセラミックよりも「割れにくい」のが特徴です。
また、金属のように歯ぐきが黒く変色することはありません。
銀歯は、虫歯の原因菌が作る酸に弱く、歯と銀歯の間に隙間ができていきます。
その隙間から細菌が侵入すると虫歯が再発してしまいます。
一方ジルコニアは、虫歯の原因菌が作る酸に強く、虫歯が再発しにくい材質です。
今回の症例では、表側は『美しさ』を重視してセラミックに、裏側は『強度』を重視してジルコニアを使用しています。また、一度折れてしまった前歯を2本繋げることで、破損や脱離を防止しています。
センター南デンタルクリニックでは、患者様からのご相談に対して様々な選択肢を提示し、治療のメリットやデメリットをしっかりとご説明しております。ご理解し、納得された上で治療をすすめてまいりますので、どうぞお気軽にご相談ください。
センター南デンタルクリニック
院長 吉竹絵里
こちらもご参照ください。
