【症例】 欠けたプラスチックを強度のあるジルコニアに変更した治療

2026.01.07
| 治療内容 | ジルコニアインレーによる修復治療 |
|---|---|
| 期間 | 2週間 |
| 治療回数 | 2回 |
| 費用(施術当時の料金) | ジルコニアの詰め物 88,000円(税込) |
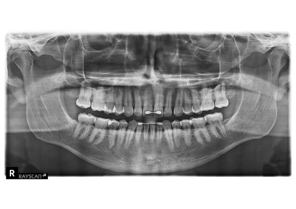
治療前の状態・主訴
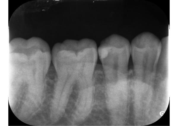
患者様は、これまで他院にて1年に一度の検診を受けられていたそうです。今回当院にて検診の継続を希望され、お口を見てみると右下の詰め物が欠けて、歯の中が虫歯になっていました。
患者様は過去に海外で矯正治療を受けたとのことで、ワイヤーで前歯を固定されていました。海外での治療歴について英語でお話を伺いながら、治療方針をご説明いたしました。


プラスチックは強度が弱く、また破損して歯を削ることはしたくないとおっしゃっていました。そのため、保険適応である銀歯とジルコニアの違い(それぞれのメリットとデメリット)をご説明し、歯にダメージのないジルコニアによる修復治療を選択されました。
治療詳細
1日目 虫歯を除去し、プラスチックで裏層後、型取りをしました。
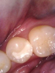
2日目 ジルコニアインレーを接着性セメントで装着しました。
治療後の様子
患者様からは、「右下の破損した歯に痛みを感じることはなかったけれど、検診に来て早く気付けたことに安心した」とのお言葉をいただきました。

主な副作用・リスク
・噛み合わせの違和感:
装着した直後は噛み合わせの高さや形態が合わず、違和感を覚えることがあります。
・知覚過敏:
歯を剥ると象牙質が露出して、冷たいものや熱いものがしみることがあります。
・破損、脱離:
噛み合わせが強い場合、歯ぎしりやくいしばりがある場合は、詰め物の一部または全てが欠けることがあります。
・経年的な変化:
時間が経過すると、歯と詰め物の間に二次的な虫歯ができるリスクがあります。
部分的な詰め物(インレー)に使用する材質とその特徴
今回のような見た目が少し気になる部分の修復治療の場合、歯の色を重視される方は多いと思います。天然の歯に近い白い色での修復をご希望される場合、保険適応内ではプラスチックでの治療、自費診療ではジルコニアなどの選択肢があります。それぞれの特徴をご説明いたします。
プラスチック(歯科用コンポジットレジン)の特徴
プラスチック(歯科用コンポジットレジン)には、以下のような特徴があります。
メリット①
保険が適応され、経済的負担を抑えることができます。
メリット②
虫歯の大きさによっては1回で治療が完了することがあります。
今回のように、部分的な詰め物となる場合、削った歯の表面をプラスチックでコーティングするときにも使用されます。
デメリット①
表面は凸凹しているため歯垢がたまりやすく、歯との段差から二次的に虫歯が再発しやすいと言われています。
デメリット②
水分を吸収し、経年的に劣化、変色しています。
デメリット③
噛む力が懸かる部位では、強度が低いために再治療になってしまうリスクがあります。
ジルコニアの特徴
自費診療であるジルコニアには、以下のような特徴があります。
メリット
強度に優れているため、前歯から大きな奥歯まで使用することができます。詰め物、被せ物のみならず、インプラントの上部構造まで多岐にわたります。
デメリット
経年的な劣化により、歯との間から二次的に虫歯が再発することがあります。
センター南デンタルクリニックでは、ご相談に対して様々な選択肢を提示し、治療のメリットやデメリットをしっかりとご説明しております。ご理解し、納得された上で治療をすすめてまいります。
英語での対応も行っておりますので、海外での治療歴がある方もご安心いただける環境です。どうぞお気軽にご相談ください。
センター南デンタルクリニック
院長 吉竹絵里
こちらもご参照ください。
