【症例】約2週間のホームホワイトニングにより歯を白くした治療

2026.02.08
| 治療内容 | ホームホワイトニングで歯を白くした治療 |
|---|---|
| 期間 | 1ヶ月(ホワイトニング実施期間:約2週間) |
| 治療回数 | 3回 |
| 費用(施術当時の料金) | パウダーを使ったクリーニング 3,300円(税込) ホームホワイトニング 20,000円(税込) ※パウダーを使ったクリーニング、ホワイトニングは、クレジットカードによるお支払いが可能です。 |
治療前の状態・主訴
患者様は「歯を白くしたい」とのことで約3年ぶりに歯科医院へ来院されました。
痛みの症状はなく、予防的な観点から虫歯の有無の確認や歯周病の状態も検査したいとのご希望でした。検査結果は良好で特に問題が見られなかったため、歯を白くする方法を説明しました。歯を白くする方法は歯科医院で行う「オフィスホワイトニング」と、ご自宅で行う「ホームホワイトニング」があります。
患者様はパウダーを使った着色除去と自宅でできるホームホワイトニングを希望されました。

治療詳細
1日目 エックス線検査後、虫歯の有無の確認、歯周病の検査を行いました。(保険適応)その後、歯を白くする方法を説明し、超音波により歯石を除去、パウダーにより着色を除去しました。ホームホワイトニングを希望されたので、施術に対する同意書に記入いただき、上下の歯型を取り、トレーを製作しました。
※虫歯や歯周病が進行している場合、治療が優先となります。
※着色が多い場合、エナメル質を傷つけないパウダーを使用した除去をおすすめしています。(保険適応外)
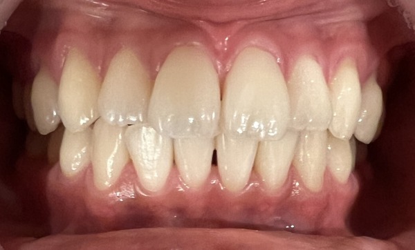
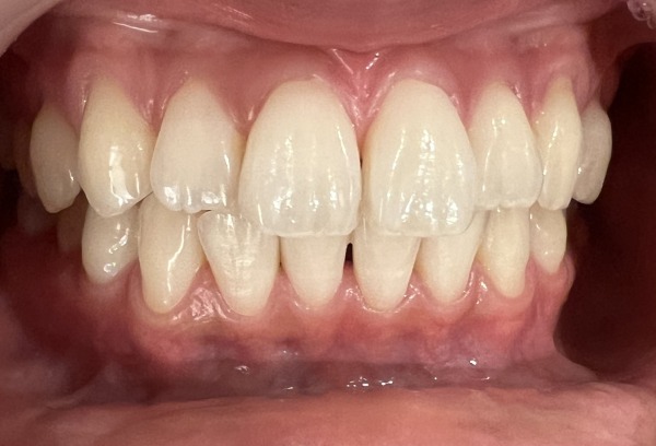
2日目 ホワイトニングを始める前の写真を撮影し、取り扱いについての注意事項を説明後、ホワイトニング用のトレーとジェルをお渡ししました。
3日目 約2週間ご自宅にてホームホワイトニングを実施していただきました。3回目のご来院時にホワイトニング後の色調を確認し、治療前後の写真を比較して説明いたしました。
治療後の様子
3年ぶりの来院でしたが虫歯がなく、安心し、約2週間のホワイトニングで白くできたことに大変満足されていました。

主な副作用・リスク
ホワイトニングにおける副作用やリスクについてまとめました。
よくある症状
ホワイトニング後にしみるなどの症状がでること
歯がしみたり、歯ぐきがヒリヒリしたり、痛みを伴うこともあります。これらは一時的なものなので数日で治ります。
効果について
個人差がある
治療の効果には個人差があり、治療前の状態から希望される歯の色調まで効果がでるとは限りません。
治療済みの詰め物や被せ物の色は変わらない
ホワイトニングは、歯の内部の色素を分解することで歯が白くなります。詰め物や被せ物による治療がされている場合、エックス線検査によって状態を確認する必要があります。
変色の原因によって色調が改善しないことがある
すでに神経を失った歯、金属により変色した歯、テトラサイクリン系の抗生物質により変色した歯など、その原因によっては改善しないことがあります。
持続的な効果は3ヶ月から6ヶ月である
生活習慣によって持続期間は異なります。3ヶ月から6ヶ月を目安に来院し、歯のクリーニングとホワイトニングの追加を受けていただくと白さを保つことができます。
治療を受けられない方・注意が必要な方
虫歯や歯周病がある場合はすぐに開始できない
ホワイトニングによって、しみたり、痛みを生じることがあるため、虫歯や歯周病の治療を優先することがあります。
下記の疾患がある方はホワイトニングができない場合がある
・膠原病
・無カタラーゼ血症
・喘息
・ヘルペス
ホワイトニングが適さない方
以下の方はホワイトニングをお控えください。
・妊娠中の方
・授乳中の方
・妊娠の可能性が高い方
・未成年の方(16歳未満)
※16歳未満の方は施術ができません。
また、ホワイトニングを受けられる方が未成年の場合、保護者の方にご同意をいただいた上で施術させていただいております。
安心して治療を受けていただくために
ホームホワイトニングはご自宅で好きなタイミングで行えるため、忙しい方にも続けやすい治療法です。また、トレーを保管していただければ、ジェルのみ購入して継続的に白さを維持していただけます。
なお、ホワイトニング後は以下の食品を控えていただくことで白さを長持ちさせることができます。
・酸性の食べ物(柑橘系の果物、炭酸飲料、お酢を使った食べ物、梅干し、スポーツドリンク、ヨーグルトなど)
・着色しやすい食べ物(コーヒー、紅茶、コーラ、赤ワイン、タバコ、カレー、ベリー系、チョコレート、ケチャップ、醤油、ソース、トマトソースなどの色が濃い食品、色が濃いうがい薬)
センター南デンタルクリニックでは、患者様からのご相談に対して様々な選択肢を提示し、治療のメリットやデメリットをしっかりとご説明しております。ご理解し、納得された上で治療をすすめてまいりますので、どうぞお気軽にご相談ください。
センター南デンタルクリニック
院長 吉竹絵里
こちらもご参照ください。
センター南デンタルクリニック|ホワイトニング・歯のクリーニング
センター南デンタルクリニック|歯を傷つけずにキレイにする新しいケア方法
