【症例】左下の虫歯治療をきっかけに、日本で通える歯科医院を探していた患者様のセラミック修復治療

2025.11.16
| 治療内容 | セラミックのインレーとクラウンで修復した治療 |
|---|---|
| 期間 | 1ヶ月半 |
| 治療回数 | 6回 |
| 費用(施術当時の料金) | セラミック 66,000円(税込)×2本=132,000円 (税込) |
治療前の状態・主訴
患者様は外国から日本に来られた方で、1年ほど前まで他院にて通院していました。しかし、言葉の壁などで意思疎通がうまくいかず、治療を中断されていたとのことでした。今回、被せ物が外れてしまったことをきっかけに当院を受診されました。
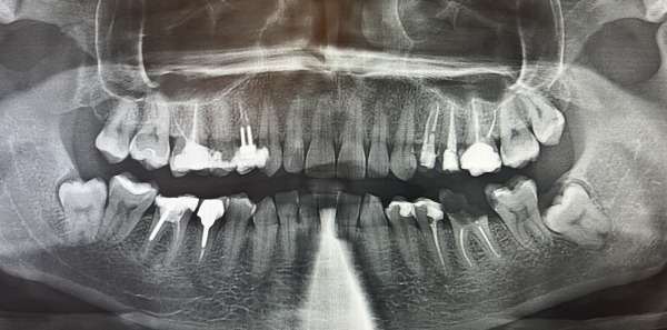
診察をしたところ、左下の奥歯2本が大きな虫歯になっていました。手前は歯の根っこだけになり、奥歯は大きく穴が開いていました。エックス線写真を撮ると、前医での根管治療後に被せ物が装着されないまま中断された状態が確認できました。また、奥歯を中心に何か所か歯と歯の間から虫歯ができていました。
当院では英語での対応も可能なため、患者様の状況を丁寧にお聞きし、1本ずつ現在の状態をご説明しました。主訴の治療だけではなく、虫歯を再発させないためにはどうしたらよいか、『虫歯ができる原因』を説明し、歯垢(原因菌)の徹底的な除去が重要であると伝えました。また、『日々のセルフケアで気をつけること』として、歯ブラシの当て方や回数、歯間ブラシやフロスの併用などをおすすめしました。


治療詳細
1日目〜3日目 左下の歯の根管治療を行い、治療後のエックス線を撮影しました。
4日目 根管治療を終えた後に土台を立てました。
5日目 左下の1番奥の虫歯を取り除き、2本同時に型取りをしました。
6日目 セラミックの被せ物と詰め物を装着しました。


治療後の様子
これまで患者様は、治療に対する要望や不安を歯科医師になかなか相談できず、お口の中の状態がよくわからなかったそうです。今回、口腔内カメラで撮影しながら治療の過程を英語で説明していきました。大きな画面ではっきりと見やすく、説明を聞いて納得しながら治療を受けられたことが嬉しいとおっしゃっていました。



主な副作用・リスク
・装着した直後は噛み合わせの高さが合わず、違和感がでる場合があります。
・歯ぎしりやくいしばりがあると、被せ物の一部もしくは全てが欠けることがあります。
虫歯の原因について
虫歯ができる原因には、以下の4つの要素が関わっているとされています。
1.虫歯をつくる細菌
2.細菌の栄養源となる糖質の摂取
3.細菌が産生した酸にさらされる時間の長さ
4.歯の質が弱い(酸によって、溶けやすい)
歯磨きしているのに虫歯になりやすいと思っている方は、以下の2つの原因が考えられます。
・磨き残しの問題
歯ブラシが届きにくい『歯と歯の間』や『一番後ろの歯』『被せ物との段差』など
に歯垢が残っている可能性があります。
当院では、歯垢が付いた部位を色で染めて視覚的に磨き残しを確認してもらいます。
歯垢が溜まっている部位に気づき、意識して 磨くきっかけになってくださると嬉しいです。
・糖分摂取回数の問題
1日の3回の食事以外に、糖分入りの飲み物や間食を摂取する回数が多いことも原因となります。
スポーツドリンク、カフェオレといった糖分を含む水分も間食としてカウントすると
多くの方が糖分を1日に5回〜6回は摂取していることになります。
当院では初診時に、エックス線検査や歯ぐきの検査などを受けていただいています。検査後は、患者様自身のお口の状態で何が問題なのか、なぜその状態になったのかご理解いただくために、検査結果をもとにお口全体についてご説明させていただいています。
歯の寿命を延ばすために
健康な歯の神経を失うとその歯の寿命が短くなります。
その理由をご存知でしょうか?
理由1 虫歯が再発しても痛みを感じにくい
被せ物が外れてきたり、歯が欠けたりしてから虫歯が進行していることに気づくことになります。歯根にまで細菌が侵入すると、根管治療が必要となります。
理由2 歯に栄養が行き届かず、歯がもろくなる
歯の神経を除去すると、栄養素が供給されず、歯の強度が低下していきます。そのため、日常の食事で噛んだ時に、突然歯が折れてしまうことがあります。特に被せ物の中に使用した土台が金属の場合は、歯が折れるリスクがさらに高くなります。
銀歯など被せ物との境目は、歯垢が溜まりやすい部位になります。被せ物も長年使用し続けていくうちに変形し、段差が生じていきます。一度神経を取り除いた大きな銀歯のまわりは、丁寧に磨きましょう。
また、神経を取るほど大きな虫歯の場合、治療回数が多くなります。根管の治療を行う際には、唾液(つば)の中の細菌が混入しないよう長時間お口を開けることとなります。このように治療回数も多く、1回あたりの治療時間も長くなるため、途中で治療を中断してしまう方もいらっしゃいます。しかし、最終的に被せ物が装着するまで間隔を空けすぎないよう、通院し、治療を最後まで完了させることが重要です。その後も定期的なメンテナンスを受けることで、歯の寿命を延ばすことができます。
多言語対応による安心の治療環境
言語の違いにより治療が思うように進まないことで、お困りの患者様もいらっしゃいます。歯科治療では患者様とのコミュニケーションが治療の質を大きく左右するため、十分な説明と理解が不可欠です。当院では英語での対応も可能であり、海外から日本にいらした方々にも安心して治療を受けていただける環境を整えております。治療内容についてしっかりとご理解いただきながら、最適な治療を提供いたします。
センター南デンタルクリニックでは、治療方法、使用する材質、治療費用についても、ご理解し、納得された上で治療をすすめてまいります。お気軽にお問い合わせください。
センター南デンタルクリニック
院長 吉竹絵里
こちらもご参照ください。
