【症例】抜歯・歯周病治療を経て前歯をジルコニアセラミックで美しく修復した治療

2026.02.22
| 治療内容 | ジルコニアセラミックで修復した治療 |
|---|---|
| 期間 | 6ヶ月 |
| 治療回数 | 6回 |
| 費用(施術当時の料金) | ジルコニアセラミック 132,000円(税込)×3本=396,000円 (税込) |
治療前の状態・主訴
患者様は3ヶ月前から「左上奥歯がグラグラする」とのことで来院され、治療を進める中で前歯の見た目についてもご相談いただきました。患者様は、5年ほど前にワイヤー矯正とインプラント治療を受けていましたが、引越しを機にメンテナンスに通わなくなってしまったとのことでした。
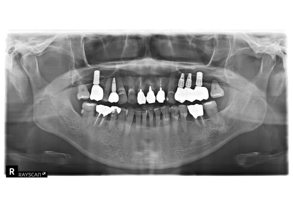
エックス線で撮影したところ、患者様は歯周病も進行しており、全体的に骨が吸収して歯根の半分まで減ってしまっていました。


特に、左右7番の骨が著しく減っており、左上の奥歯は歯根まで骨が吸収し、残すことが不可能な状態でした。
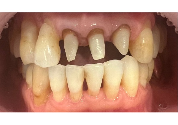
前歯3本は神経がなく、痛みはないものの、歯ぐきが下がったことで茶色く変色した歯根が見えてしまっている状態でした。見た目を気にされていた患者様に治療の選択肢をご提案したところ、「被せ物の色を細かく再現できる」という理由からジルコニアセラミックの被せ物を選択されました。

治療詳細
1日目 エックス線検査、歯周ポケットの検査、歯石除去を行いました。
2日目 左上7の抜歯を行いました。抜歯した左上7番目は、CTを撮影したところ骨の高さがないことがわかりました。また、左上6番目のインプラントが左下7番と咬んでおり、噛み合わせでのバランスは保たれていることから、インプラントは行わずに現状維持となりました。
3日目 1回目の歯周ポケット検査から1ヶ月後の再検査を行いました。その際、前歯の色についてご相談いただき、被せ物をジルコニアセラミックでやりかえることになりました。
4日目 前歯3本の被せ物除去し、仮歯を付けました。
5日目 土台を外し、ファイバーコアに変更、型取りを行いました。
6日目 被せ物を仮付けし3ヶ月間経過観察後、本格的に装着しました。

治療後の様子
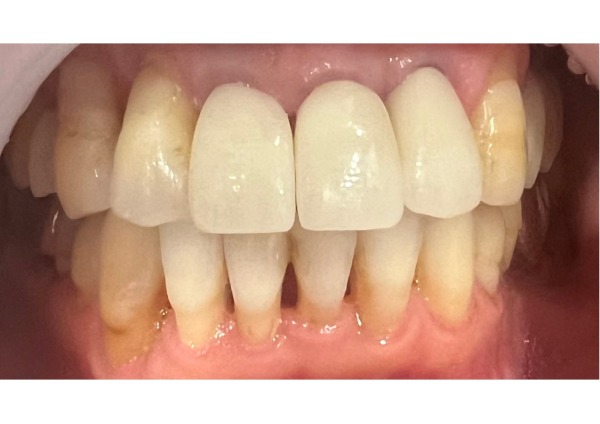
前歯の被せ物をジルコニアセラミックにしたことで、以前の茶色く変色した歯根の色も気にならず、仕上がりに大変満足されていました。
また、これまで転勤が多く、治療後のメンテナンスには通えていなかったので、久しぶりに全てをこまかく確認できて良かったとおっしゃっていました。

主な副作用・リスク
・装着した直後は噛み合わせの高さが合わず、違和感を覚える場合があります。
・歯ぎしりやくいしばりがあると、被せ物の一部もしくは全てが欠けることがあります。
長期的な予後を見据えたメンテナンスの重要性
歯科治療がお口全体に及ぶ場合、完治までに数年単位かかることがあります。
今回、歯周病の進行により左上7番が抜歯となりましたが、これは引越しを機にメンテナンスに通えなくなってしまったことも一因です。また、前歯の歯ぐきが下がり歯根の変色が気になるようになったのも、歯周病による歯ぐきの退縮が原因であり、メンテナンスが途絶えてしまった期間と深く関係しています。
一方で、患者様は歯を長く残したいという気持ちが強く、毎日のお口のケアは丁寧です。歯ブラシ以外にも歯間ブラシやフロスも併用されていたことで、今回の抜歯は1本のみだったと言えます。
ただし、患者様は前歯がワイヤーで固定されており、インプラントの被せ物が繋がっているため、歯間ブラシやフロスの使用はとても難しい状態です。複雑な構造物になるほど、治療後のお口のケアは難易度が増していきます。
歯周病や虫歯などは細菌が原因の感染症です。そのため、放置すると歯や歯周組織を破壊してしまう恐れがあります。原因となる細菌を除菌することで、歯や歯ぐき、骨などお口全体を健康な状態に保つことができますが、この基本的な治療が不十分であると、歯並びやインプラントの治療の長期的な予後に大きな影響をもたらします。
センター南デンタルクリニックには、過去に歯並びやインプラントといった治療を受けられた方が、メンテナンスを希望されて来院しています。日々のケアの大変さを理解されているからこそ、3ヶ月に一度のメンテナンスをしっかり受けられています。
定期的にクリーニングをしていても、日々のお口のケアを全て完璧にこなす方はほとんどいらっしゃいません。
過去に虫歯や歯周病の治療を行ってきた場合、3ヶ月で虫歯や歯周病が再発する細菌数にまで増えてしまうといわれています。
センター南デンタルクリニックでは、治療だけではなく、メンテナンスも承っております。お気軽にお問い合わせください。
センター南デンタルクリニック
院長 吉竹絵里
こちらもご参照ください。
