【症例】神経に到達した奥歯と前歯の虫歯を異なる材料で修復した治療

2026.03.05
| 治療内容 | CADCAM冠による修復治療 保険適応 |
|---|---|
| 期間 | 8ヶ月 ※右上奥歯2本、左上前歯2本、左下奥歯2本 |
| 治療回数 | 26回 |
| 費用(施術当時の料金) | セラミッククラウン 66,000円(税込) CADCAM冠 保険適応内 根管治療 保険適応内 |
治療前の状態・主訴
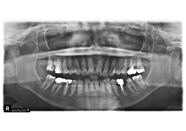
患者様は1ヶ月ほど前に左下の詰め物が外れたものの、痛みがさほどないため、そのままにしていたそうです。しかし、その後歯ぐきが腫れていることに気づき、今回来院されたとのことでした。また、前歯は水がしみる程度で痛みは強くないとのことでした。
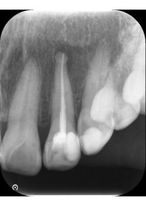
エックス線を撮影すると、右上奥歯2本、左下奥歯2本、左上前歯2本に虫歯が認められました。エックス線写真で診断するより実際は虫歯が深いことがあります。左下6番、左下7番、左上2番の計3本が神経に到達するほどの大きい虫歯でした。
患者様に根管治療の流れを説明し、大きい虫歯から順番に治療していくことになりました。


治療詳細
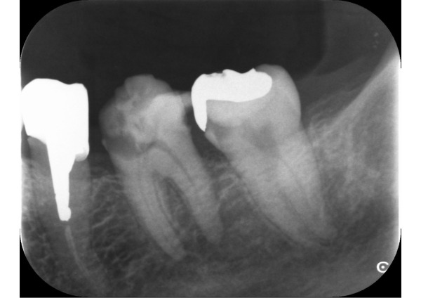
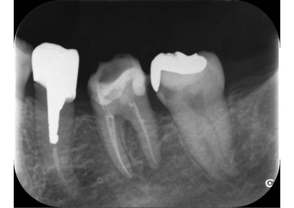
1日目〜5日目 エックス線検査、歯周ポケット検査後、左下の根管治療を始めました。根管充填を完了するまで5回を要しました。
6日目 前歯の虫歯は神経に近いほど大きく、痛みが出たら神経を取る可能性を説明し、左上2番をプラスチックで修復しました。隣り合う歯である左上3番も虫歯になっていたため、同時にプラスチックで修復しました。
7日目 前歯の虫歯治療から約2ヶ月後、前歯で噛むと痛みを伴うことから、左上2番の神経を取る治療を行いました。
8日目〜12日目 根管治療後、土台をプラスチックで充填し仮歯を装着しました。この時点で、奥歯の被せ物はCADCAM冠(保険適用内)、前歯の左上2番は審美面を考慮してセラミッククラウン(保険適用外)の被せ物をそれぞれ選択いただきました。
13日目 被せ物の型を取り、色合わせの写真を取りました。
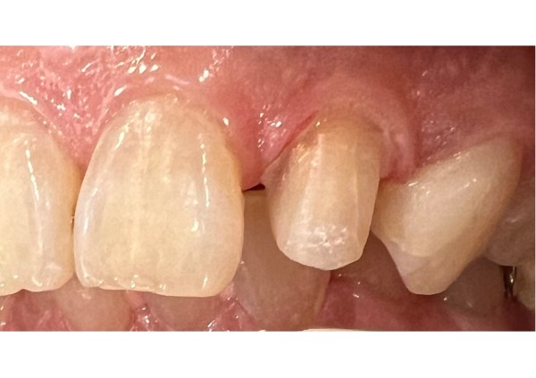
14日目 被せ物を装着しました。

治療後の様子
患者様は痛みがないため通院するまで時間がかかってしまったが、神経を取ることになったため、定期的なメンテナンスが大切であると感じたそうです。
前歯の見た目にもご満足いただいています。


主な副作用・リスク
・神経を取る治療後、噛んだ時に違和感を覚える場合があります。
・被せ物を装着した後、噛み合わせの高さや形態が合わず、違和感を覚える場合があります。
・歯ぎしりがあると、被せ物の一部もしくは全てが欠けることがあります。
・時間が経過してから、歯と被せ物の間に2次的な虫歯ができることがあります。
・セラミック治療に関する保証期間は、装着してから3年間とさせていただきます。
CADCAM冠という選択肢
患者様は今回、奥歯の被せ物は色を気にされないとのことからCADCAM冠(保険適応内)での治療を希望されました。一方、前歯の左上2番は審美的な理由でセラミッククラウン(保険適応外)を選択されました。
このように、被せ物の材料には保険適応内・適応外を含め複数の選択肢があり、部位や見た目へのご要望、費用のご事情に合わせて選ぶことができます。
奥歯の被せ物で使用したCADCAM冠は金属が高騰し続ける中、金属に代わる材料として歯科に導入されています。
CADCAM冠
CADCAM冠とは、プラスチックとセラミックを混合したハイブリッドレジンです。
メリット
・銀歯よりも見た目が自然です。
・金属アレルギーの方でも使用できます。
デメリット
・経年的に変色やすり減りが起きます。
・セラミックに比べて、割れたり外れたりしやすいです。
・銀歯より歯を削る量が多いです。
センター南デンタルクリニックでは、患者様からのご相談に対して様々な選択肢を提示し、治療のメリットやデメリットをしっかりとご説明しております。ご理解し、納得された上で治療をすすめてまいりますのでどうぞお気軽にご相談ください。
センター南デンタルクリニック
院長 吉竹絵里
こちらもご参照ください。
