【症例】破折した歯を抜歯し、インプラントで咬み合わせを回復した治療

2026.04.04
| 治療内容 | インプラントで咬合を回復した治療 |
|---|---|
| 期間 | 1年 |
| 治療回数 | 13回 |
| 費用(施術当時の料金) | CT診断料 11,000円 (税込) インプラントフィクスチャー 242,000円 (税込) インプラント上部構造(ジルコニアクラウン) 132,000円 (税込) 根管治療 保険適応内 |
治療前の状態・主訴
患者様は、左下の歯ぐきの腫れを主訴に、セカンドオピニオン希望で来院されました。7年ほど前に根管治療した歯がうずくとのことで、お口を拝見すると腫れた歯ぐきに膿を排出するための穴(サイナストラクト)ができていました。エックス線写真を撮ると、歯根を囲むように大きな黒い透過像が認められました。
できる限り自分の歯を残すことを希望されていましたが、抜歯となる可能性が高いと伝えたところ、抜歯ならばインプラント治療を受けたいとのことでした。

治療詳細
1日目〜2日目 被せ物と土台を外し、根管治療を始めました。歯周ポケット検査では、左下6番は一部8mmと深くなっており、歯根が破折している可能性を患者様へご説明しました。
3日目 CT撮影の結果、骨が広範囲に溶けていることが判明したため、その状況をご説明し、抜歯をご提案しました。
4日目〜6日目 患者様の既往歴を考慮し、専門医療機関での抜歯をご紹介しました。抜歯までの間、経過を観察しました。
7日目 抜歯後1ヶ月後に来院されました。左下7番の一部が欠けたため、プラスチックで修復しました。
8日目 抜歯後3ヶ月が経過し、再度CT撮影を行いました。
9日目 インプラントのフィクスチャー(顎骨に埋め込む人工歯根部分)を埋入しました。
10日目 翌日に消毒を行いました。
11日目 術後10日〜14日後に縫合した糸を除去しました。
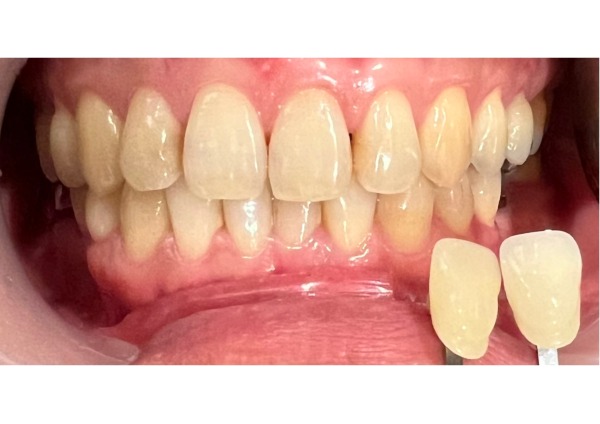
12日目 3ヶ月後にインプラントの被せ物の型を取り、色を合わせる写真を撮影しました。
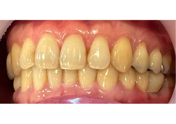
13日目 被せ物を装着しました。

治療後の様子
患者様はこれまでの歯科医院で、エックス線検査を受け、「もう抜歯しかない」と言われていましたが、何とか残す方法がないかと自分の歯の保存を希望されていました。当院にて、エックス線検査、CT検査、口腔内カメラで多角的に調べることができ、詳しい検査がとても大事だと感じたそうです。
「1つひとつの検査を行う意味を段階的に説明していただいたので、わかりやすく、非常に良かった」と満足されていました。
また、破折した歯の写真を実際に確認したことで抜歯しかないと受け入れることができ、インプラント治療を受けようと前向きに決断できたとのことでした。

主な副作用・リスク
・被せ物を装着した後、噛み合わせに違和感がでる場合があります。
・歯ぎしりやくいしばりにより、被せ物の一部が欠けることがあります。
・歯ぎしりやくいしばりにより、被せ物のネジが緩むことがあります。
・インプラントと隣り合う歯の間に隙間が生じてくることがあります。
歯を失った際の治療について
歯は神経を失うと、その寿命が非常に短くなってしまいます。今回抜歯となってしまった歯は、過去に虫歯の治療で神経を取り除いていました。神経を取り除いた歯は、固いものを食べることで突然割れてしまうことがあります。
万が一、歯を失った場合の治療方法は3つあります。
1.入れ歯
保険適応内での場合、治療の期間は短く、身体に負担の少ない治療方法です。
入れ歯の沈み込みやズレを防ぐため、支えとなる歯に最小限の調整を行う場合があります。
ノンクラスプデンチャーや金属床といった保険適応外の入れ歯もあります。
2.ブリッジ
隣り合う歯の状態、噛み合わせの状態によって、適応でないことがあります。隣り合う歯を削りますが、安定感があります。
被せ物の材質により、保険の適応か適応外か選ぶことができます。
3.インプラント
骨を使って、噛み合わせを回復することができます。骨の状態によっては、インプラント治療ができない場合があります。
保険適応外の治療になります。
インプラントの治療の流れ
インプラントの治療の流れについて、まとめました。
1.虫歯、歯周病、破折などの理由から、抜歯をおこないます。
2.骨の再生を待ちます。
抜歯前の骨の状態によって、骨の再生を待つ期間が異なります。
3.骨の状態をCTで診断します。
4.インプラントのフィクスチャーを埋入します。
骨の高さや厚みによって、人工の骨をたすことがあります(別途、治療費用がかかります)。
5.埋入後、3ヶ月から6ヶ月ほど待つ期間があります。
6.麻酔を行い、フィクスチャーにキャップを装着します。
7.被せ物の型を取り、色合わせの写真を撮影します。
8.フィクスチャーに被せ物を装着します。
センター南デンタルクリニックでは、検査の必要性と検査結果について、ていねいに、分かりやすくご説明するように心がけています。十分ご理解・ご納得された上で治療をすすめてまいりますのでお気軽にお問い合わせください。
センター南デンタルクリニック
院長 吉竹絵里
こちらもご参照ください。
