【症例】金属アレルギーの患者様をノンクラスプデンチャーで修復した治療

2026.04.21
| 治療内容 | ノンクラスプデンチャーによる修復治療 |
|---|---|
| 期間 | 11ヶ月 |
| 治療回数 | 12回 |
| 費用(施術当時の料金) | ノンクラスプデンチャー 88,000円(税込) |
治療前の状態・主訴
患者様は、1年ほど前に左下にセラミックの被せ物をしたが、歯ぐきを押すと痛いとのことから来院されました。
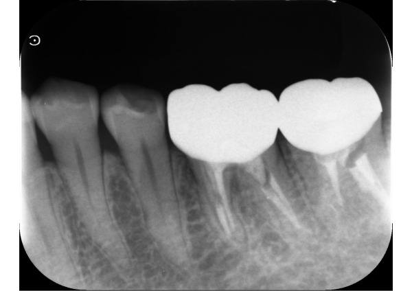
お口の中を見てみると、左下6番目の歯ぐきにサイナストラクト(歯根の炎症が原因でできる、膿の出口となる穴)が認められました。口腔内エックス線画像から、残っている歯根が薄いため、破折している可能性をお伝えしました。
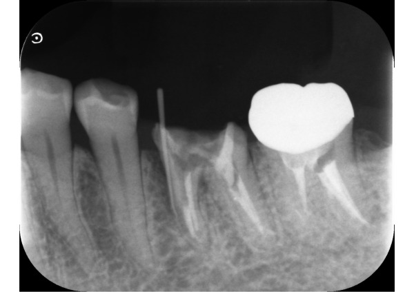
歯根の状態をさらに詳しく調べるため、セラミックを外してサイナストラクトに造影性のあるゴムを挿入し、再度、口腔内エックス線検査を行いました。破折した部位からの細菌感染により、歯根に沿って深く骨がなくなっていました。また、口腔内カメラで破折した部位を確認し、保存は難しく、抜歯となりました。
患者様は金属アレルギーがあり、すでに右下にノンクラスプデンチャー(金属のバネを使わない入れ歯)を使用されていました。抜歯した左下についても同様に、ノンクラスプデンチャーを希望されたため、その方針で治療を進めることになりました。


治療詳細
1日目〜4日目 左下6番は強い痛みがないため、まずはパノラマエックス線検査、歯周ポケット検査を行い、歯周病の治療を行いました。
5日目〜8日目 サイナストラクトを認めたため、デンタルエックス線を撮影し、歯根破折の疑いがあると説明しました。セラミックを外して破折した部位を確認するため、造影性のあるゴムを写して再度撮影しました。

9日目〜10日目 左下6番を抜歯し、術後の消毒を行いました。
11日目 抜歯から3ヶ月後、ノンクラスプデンチャーの型取りを行いました。
12日目 ノンクラスプデンチャーを装着しました。
治療後の様子
今回、患者様は神経の治療を行った歯が割れてしまったことがとてもショックだったため、なかなか抜歯を決断できませんでした。
そこで、歯を支える骨が細菌感染した状態で長期間放置すると、感染が徐々に広がり、周りの歯まで影響することをお伝えしました。それを聞いて、患者様も早めの決断が重要だと実感されたようです。
歯を抜いてから違和感や痛みがなくなり、不快な症状が軽減していったとのことでした。

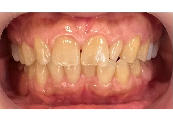
こちらはノンクラスプデンチャーを口腔内に装着した正面写真です。

主な副作用・リスク
・装着時の違和感:
入れ歯を装着してから少なくとも1ヶ月は違和感を覚えることがあります。
・食べ物が詰まる:
入れ歯と歯ぐきの間には隙間があるため、食べ物がつまることがあります。
・経年的な劣化:
入れ歯の材質はプラスチックであるため、経年的に劣化していきます。
・プラスチックのバネの変形や破損:
経年的にバネが緩くなることがあります。また、細いバネの部分が破損するリスクがあります。
金属アレルギーについて
みなさまはアクセサリーを身につけて皮膚に発疹が出たり、かゆみが出たご経験はありますか?
ノンクラスプデンチャーの特徴として、支えとなる歯に負担が少ない自然な色の仕上がりであること、また、金属アレルギーを持っている方でも安心して使用できることがあげられます。
では、歯科における金属アレルギーはどのように調べるのでしょうか。1994年の日本接触皮膚学会でガイドラインが策定されてから、歯科の金属アレルギーに対するパッチテストで原因物質を判断するようになりました。
パッチテストとは、原因物質またはそれを含む水溶液を貼付し、アレルギー反応がでるか調べる検査です。赤み、発疹、水疱、かゆみといった症状が一般的です。歯科で使用する金属は種類が多いため、何種類も調べることがあります。歯科の材料では「金銀パラジウム合金」が主流ですが、ニッケル、コバルト、クロム、チタンなども検査の対象となります。
すでに、お口の中に入っている銀歯によるアレルギーが心配な方はご相談ください。保険適応内の非金属の素材に変更することができます。噛み合わせによっては、強度も兼ね備えた保険適応外のセラミックが良い場合があります。
センター南デンタルクリニックでは、できる限り患者様ひとり一人の希望に沿った形で進めていけるように配慮しています。治療内容や方針に疑問があれば、遠慮なくご相談ください。ご理解、ご納得された上で治療をすすめてまいります。
センター南デンタルクリニック
院長 吉竹絵里
こちらもご参照ください。
