【症例】小さく、薄く、違和感の少ない入れ歯で修復した治療

2025.09.22
| 治療内容 | 金属床を用いた義歯(入れ歯)の修復治療 |
|---|---|
| 期間 | 1ヶ月半 |
| 治療回数 | 4回 |
| 費用(施術当時の料金) | チタンを用いた義歯 440,000円(税込) プラスチック 保険適応内 |
治療前の状態・主訴
患者様は数ヶ月前に保険適応で入れ歯を作成されたものの、プラスチックが厚いため話しにくく、他の治療方法がないか相談したいとのことで来院されました。また、歯周病で前歯と左上の奥歯を抜いているため、歯周病も合わせて診てほしいとのことでした。
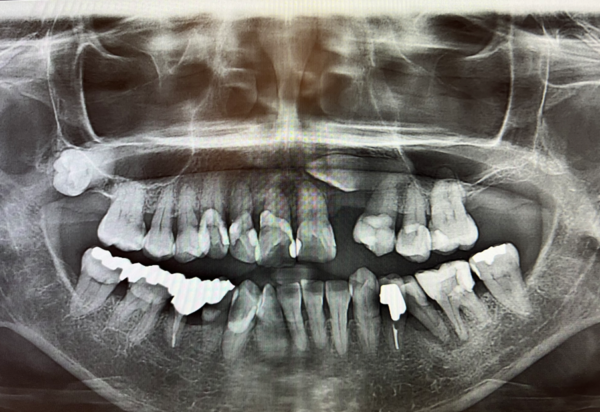
エックス線写真を撮影すると、八重歯が顎の骨の中に埋まっており、左上の奥歯を抜いたところは骨も非常に薄いことがわかりました。このように、埋伏した歯がある場合や、骨が非常に薄い場合、インプラントでの修復は困難であるため、入れ歯での修復が適正であると伝えたところ、違和感の少ない入れ歯での治療を希望されました。

治療詳細
1日目 上下の型を取り、入れ歯の作成を開始します。
2日目 噛み合わせの記録をとります。
3日目 金属のプレートを試適します。
4日目 入れ歯が完成し、調整します。
治療後の様子

チタンで作成したことで軽くて薄いので、日々の生活で違和感なく使用できているとのことでした。義歯を作成後、前歯に詰められていたプラスチックも修復しました。
主な副作用・リスク
・装着した後は、違和感がありますが、1ヶ月ほど使用しながら徐々に慣れていきます。
・バネが緩くなったり、入れ歯と歯ぐきの隙間が開いたりしてきますので、定期的な調整が必要となります。
快適な入れ歯を選ぶために 金属床を用いた義歯のご紹介
プラスチック製の入れ歯(保険適応)を使用されていましたが、しゃべりにくく、安定感がないため噛みにくいといった悩みはとても多いです。新しく作成した入れ歯は、金属のプレートとバネを一体化させていることで安定感が増し、強度に優れています。また、上顎に金属が接することで、食事の際に温度の変化を感じることができます。
センター南デンタルクリニックでは、患者様からのご相談に対して様々な選択肢を提示し、治療のメリットやデメリットをしっかりとご説明しております。ご理解し、納得された上で治療を進めてまいりますので、どうぞお気軽にご相談ください。
センター南デンタルクリニック
院長 吉竹絵里
こちらもご参照ください。
