【症例】銀歯を白いセラミックに変えた修復治療

2025.10.07
| 治療内容 | セラミックを用いた修復治療 |
|---|---|
| 期間 | 半月 |
| 治療回数 | 2回 |
| 費用(施術当時の料金) | セラミックの詰め物 66,000円(税込)×2本=132,000円(税込) |
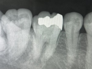
治療前の状態・主訴
以前から口を開けたときの歯の色が気になっていたとのことで、銀歯を白くしたいとのご希望で来院されました。
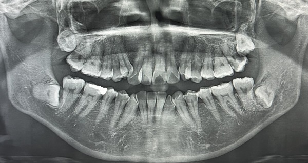
銀歯の隣の歯も黒く、虫歯になっていたため、エックス線写真を撮影しました。


治療前の歯は以下のような状態でした。


治療詳細
1日目 虫歯を取り除き、プラスチックで成形した後、型取りを行います。
2日目 セラミックを接着性のセメントで装着します。
治療後の様子
治療後に痛みやしみる症状はありませんでした。今回の患者様は、虫歯を早期発見でき、神経を取らずに修復できたことを大変喜んでいらっしゃいました。


主な副作用・リスク
・噛み合わせの違和感:
装着した直後は噛み合わせの高さや形態が合わず、違和感を覚える場合がある
・脱離、破損:
外力によって外れることがある
歯ぎしりがあると一部、またはすべてが欠けることがある
安心して治療を受けていただくために
銀歯で修復した場合のデメリットについてご説明します。
①経年的な劣化
歯は、歯ぎしりなどによって徐々にすり減っていきます。 銀歯と歯の間に段差が生じると、隙間から細菌が侵入し、虫歯が再発してしまいます。また、その隙間から水分が入ると、セメントが溶けてしまい、銀歯が外れることがあります。
②銀歯の適合性の低さ
「銀歯」は、銀50%、パラジウム20%、金12%や銅や亜鉛といった金属が合わさった合金になります。 歯と銀歯の間に段差があると、歯垢がたまりやすく、虫歯だけでなく歯周病の再発にも関わってきます。
③金属アレルギー
唾液(つば)の影響で、金属の成分が溶け出します。銀歯は、イオン化してアレルギーを発症するリスクの高い金属です。 口内炎がよくできたり、舌がピリピリ痛んだりすることが多いです。また、唇や口角が腫れたり、手足の裏に水ぶくれができたり、様々な症状がみられます。 金属アレルギーの検査は皮膚科でパッチテストを受けて原因となる金属を特定します。結果によっては、詰め物を外して交換する必要があります。
現在、歯科用のプラスチックとセラミックの粉末から作るCADCAM冠は金属アレルギーの心配がない保険適応の材質として注目されています。 ただし、他の素材と比較しても強度が弱く、セラミック(保険適応外)の半分程度の強度です。削れて噛み合わせが低くなったり、割れたりするリスクがあります。また、強度を上げるために歯を多く削る必要があります。
今回の症例のように、セラミックで修復した場合のメリットやデメリットを以下にまとめました。
メリット ①適合性に優れている
適合性が良いセラミックは「硬さ」が自分の歯と近く、隙間が生じにくい特徴があります。また、接着性セメントで装着しているため、セメントが溶けることはありません。
メリット②歯垢が付着しにくい
表面は歯垢が付着しにくくなめらかで、虫歯や歯周病が再発するリスクを抑えることができます。
デメリット ①歯ぎしりや食いしばりで割れることがある
強度を重視される部位にはジルコニアをおすすめします。また、ナイトガードやマウスピースの使用も推奨しています。
デメリット②治療費用が高い
保険診療に比べると治療費用が高くなります。
センター南デンタルクリニックでは、患者様からのご相談に対して様々な選択肢を提示し、治療のメリットやデメリットをしっかりとご説明しております。ご理解いただき、ご納得された上で治療をすすめてまいりますので、どうぞお気軽にご相談ください。
センター南デンタルクリニック
院長 吉竹絵里
こちらもご参照ください。
