【症例】定期検診で早期発見できた虫歯の修復治療

2025.10.19
| 治療内容 | セラミックを用いた前歯の修復治療 |
|---|---|
| 期間 | 2ヶ月半 |
| 治療回数 | 7回 |
| 費用(施術当時の料金) | セラミックの被せ物 66,000円(税込)×2本=132,000円(税込) |
治療前の状態・主訴
患者様は上の両側奥歯を歯周病で抜歯してから歯を失うことが怖くなり、検診を希望して来院されました。特に、痛みや違和感などの症状はないとのことでした。
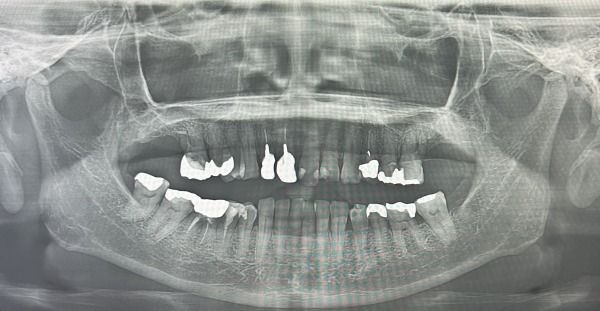
まず、虫歯の有無を調べ、詰め物などの記録をとります。続いて、レントゲン撮影を行い、歯周病の検査項目である歯周ポケットの深さ、歯の揺れ、磨き残しの付着度合いを調べました。その検査の際、前歯の被せ物が少し揺れていたため、追加で口腔内エックス線写真を撮影しました。
エックス線写真によると、前歯2本は神経を取り除いており、土台に「金属」を使用した差し歯であることが分かりました。被せ物と歯の間に隙間ができており、治療前の写真では歯が部分的に黒く変色しています。
この黒色化には2つの理由があります。
1.神経を取り除いたため:
歯髄(しずい)は歯に水分や栄養を与えている組織です。歯髄を取り除くことで歯は乾燥し、くすんだ色になります。
2.詰めた材料の影響:
歯の内部に使用した「金属」が、歯の色に影響を与えます。
よく見ると、2本とも根尖部のエックス線透過像はありませんが、細菌感染していることが考えられるので、根管治療から始めていくことにしました。
被せ物を外すと虫歯になっていました。患者様は、被せ物が揺れていることも虫歯があることも自覚されておらず、驚いた様子でしたが、差し歯が突然外れる前に治療を始めることができて良かったとおっしゃっていました。



治療詳細
診察と患者様とのご相談の結果、根管治療後、土台にはファイバーコアとプラスチックを使用し、被せ物は審美性と耐久性に優れたセラミックで製作することになりました。
1日目 被せ物を取り、根管治療と仮歯の作成を行いました。
2日目〜3日目 根管治療を終了し、土台(ファイバーコア)の型取りを行いました。
4日目 土台(ファイバーコア)を装着し、仮歯を修正しました。
5日目 右上2番も同様に根管治療を行い、土台をプラスチックで立てました。
6日目 2本の被せ物の型取りをし、色合わせの写真を撮影しました。
7日目 2本のセラミックの被せ物を装着しました。
セラミック製作について
セラミックの形は、唇や頬とのバランスを見ながら作成する必要があります。歯科技工士に口腔内の状態をより正確に伝えるため、仮歯を付けた状態で型取りをします。また、歯の色を撮影し、ご自身の色に合わせて作成しました。
治療後の様子
患者様は日頃から歯周病の進行を防ぐため、歯間ブラシやフロスを使用していましたが、なかなか細かいところまでは届いておらず、被せ物の内部で虫歯が再発していたことにショックを受けていました。検診では、お口の中を細かく検査することで、虫歯を早期発見でき、定期検診の重要さを改めて感じたとおっしゃっていました。

主な副作用・リスク
・噛み合わせの違和感:
装着した直後は噛み合わせの高さや形態が合わず、違和感を覚える場合がある
・脱離、破損:
外力によって外れることがある歯ぎしりがあると一部、またはすべてが欠けることがある
・経年的な劣化:
時間が経過してから歯と被せ物の間に二次的な虫歯ができるリスクがある
定期検診による早期発見の重要性
今回の患者様の前歯は、以前に神経を取り除き、金属の土台を使った差し歯でした。
金属の土台は硬く、太いものを使用すると薄くなった歯根に過剰な力が加わった時、歯が割れてしまう事があります。一度歯根が破折してしまうと、修復することができず、抜歯となってしまうことがほとんどです。
今回の場合、定期検診による早期発見により境目からの虫歯が大きくなかったため、歯質を比較的残すことができました。また、土台の金属が薄かったため、再度差し歯を作り変えることができました。
このように、定期的な検診でお口の中を細かくチェックすることが、歯を長く守ることにつながります。
センター南デンタルクリニックでは、患者様からのご相談に対して様々な選択肢を提示し、治療のメリットやデメリットをしっかりとご説明しております。ご理解し、納得された上で治療をすすめてまいりますので、どうぞお気軽にご相談ください。
センター南デンタルクリニック
院長 吉竹絵里
こちらもご参照ください。
