【症例】抜歯してから時間が経過し、被せ物と義歯で修復した治療

2026.01.17
| 治療内容 | ジルコニアクラウンとノンクラスプデンチャーで修復した治療 |
|---|---|
| 期間 | 2ヵ月 |
| 治療回数 | 5回 |
| 費用(施術当時の料金) | ジルコニアクラウン 88,000円(税込)
ノンクラスプデンチャー 88,000円(税込) |
治療前の状態・主訴
患者様は2週間前から右上あたりに時々痛みを感じることがあり、約2年ぶりに歯科医院へ来院したとのことでした。
患者様は8年ほど前に右上の歯を抜歯し、他院にて何度か右上の治療方法について相談していたそうです。当院に来院いただいた際は歯を削る量がなるべく少なく、インプラント以外の治療方法を希望されていました。
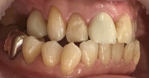
お口の中を拝見したところ、右上5・6が無く、右上4も下の歯とは噛んでいない状態でした。このことから、右側の噛み合わせが不安定なため、痛みが生じていることがわかりました。


治療を始める前に患者様の歯型を取り、模型を使用しながら左右での『噛む力のバランスが崩れてしまっている』ことを伝えました。
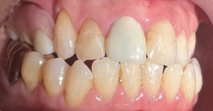
今回、様々な治療選択の中から、右上4番は被せもので、その奥は義歯(バネが目立たない)で修復することになりました。
治療詳細
1日目 レントゲン写真撮影後、虫歯の有無、歯周病の検査、歯石除去を行いました。治療計画のため、上下の歯型を取りました。
2日目 歯型を元にお口の状態を説明し、被せ物とノンクラスプデンチャーで修復することに決定しました。また、右上4に仮歯を作成しました。
3日目 右上4番の被せ物の型取り、そして噛み合わせの記録を取りました。
4日目 ジルコニアクラウンを装着し、ノンクラスプデンチャーの型取りを行いました。
5日目 ノンクラスプデンチャーを調整しました。


治療後の様子
患者様の希望である『なるべく歯を削る量が少なく、インプラント以外の方法』で治療できたことに、大変満足されていました。


主な副作用・リスク
被せものに関して:
・装着した直後は噛み合わせの高さが合わず、違和感を覚える場合があります。
・歯ぎしりやくいしばりがあると、被せ物の一部もしくは全てが欠けることがあります。
入れ歯に関して:
・ノンクラスプデンチャーは、バネが経年劣化により広がり緩くなっていきます。
・強い力をかけるとプラスチックが破損することがあります。
噛む力のバランスについて
センター南デンタルクリニックでは、エックス線画像や口腔内写真から、患者様のお口の中で、『どういう状態なのか、なぜそうなったのか』原因を知っていただくために、歯型を取り、お口全体の話をさせていただいています。
私たちの食生活において、噛む力は大臼歯と呼ばれる奥歯によって支えられています。今回のように28本のうち1本を失っても、ご飯は食べられると考えている方は多いと思います。実際には、奥歯が噛む力全体の80%を支えているため、大臼歯を1本失うと、その分残った歯の負担が大きく増してしまいます。
噛む力のバランスが崩れてしまった場合に起きること
歯がすり減る
上下の歯は、就寝中の歯ぎしりで急速に歯を摩耗していきます。
知覚過敏が起こる
歯ブラシの毛先が触れたり、冷たいもの、甘いものなどの刺激によって、一過性の痛みが生じます。
歯の根元が欠ける
歯ぎしりや歯を横に動かしたときに上下の歯が強く当たることで歯にたわみが生じ、歯が細かく欠けてしまいます。
歯が割れてしまう
歯ぎしりや食いしばりによって、歯に非常に強い力がかかります。神経がある健康な歯でも割れてしまうことがあります。
歯の生える位置に影響を与える
噛みしめる癖があると、骨の発育が抑制されてしまいます。奥歯の高さが低く、前歯の噛み合わせが深くなったり、前歯の傾斜が強くなってしまったりします。成長期では、骨格の形成に影響を及ぼしてしまいます。
歯のまわりの組織が損傷する
日常生活での噛む力により、歯ぐき、歯を支える骨、顎関節が損傷することがあります。これは、歯並びや噛みあわせが深く関係しています。
修復物が破損してしまう
むし歯をセラミックで修復した後、そこに負荷がかかってしまうと、割れたり欠けたりしてしまいます。
お口から全身に影響を及ぼすことがある
口が開かない、肩が張る、顎が痛い、舌が痛い、腰が痛いなど、全身に影響していきます。
噛む力のバランスが崩れてしまった場合(噛み合わせが悪い)、歯と歯の間に食べ物がはさまり、歯垢が溜まるため、虫歯と歯周病になるリスクが高く、結果として歯を失っていきます。
このようなリスクを防ぐためには、失った歯を放置せず、適切な治療で噛み合わせのバランスを回復することが大切です。
センター南デンタルクリニックでは、治療方法、使用する材質、治療費用についても、ご理解し、納得された上で治療をすすめてまいります。お気軽にお問い合わせください。
センター南デンタルクリニック
院長 吉竹絵里
こちらもご参照ください。
