【症例】差し歯が2回外れて、金属床で咬み合わせを回復した治療

2026.03.19
| 治療内容 | 金属床による咬み合わせの回復をおこなった治療 |
|---|---|
| 期間 | 5ヶ月 |
| 治療回数 | 10回 |
| 費用(施術当時の料金) | チタンを使用した金属床 440,000円(税込) |
治療前の状態・主訴
患者様は10年ほど前に左上に2本セラミックを被せたうえで、ノンクラスプデンチャーを作ったとのことでした。ノンクラスプデンチャーとは、金属のバネ(クラスプ)を使わず、歯ぐきに近い色の樹脂で固定する部分入れ歯のことです。
しかし、入れ歯の支えとなっていたセラミックを被せた歯が2本とも外れてしまい、歯ぐきも腫れているとのことで、今回来院されました。
患者様はインプラント治療もご検討されたそうですが、年齢的な身体への負担を考慮し、入れ歯の作り直しをご希望されていました。
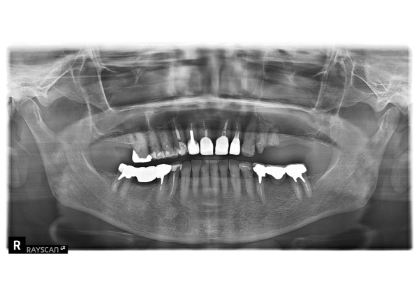
まずエックス線検査をおこなったところ、左上5番が割れていたため、保存ができない状態であることがわかりました。また、左上4番は残すことができても、差し歯にするほど歯の高さは残っていませんでした。
患者様とご相談のうえ、左上4番を入れ歯の支えとして利用し、新しい入れ歯を金属床で製作することになりました。


治療詳細
1日目 エックス線検査、歯周ポケット検査を行い、歯石除去をおこないました。左上5番は保存が難しい状態であることをご説明し、抜歯が必要であることをお伝えしました。
2日目 患者様に入れ歯の種類(メリットとデメリット、治療費用)を説明し、金属床の入れ歯を製作することに決まりました。
3日目 左上5番を抜歯しました。
4日目 入れ歯をつくるため型取りを行いました。
5日目 咬み合わせの記録を取りました。
6日目 入れ歯を装着しました。
7日目 1週間後、入れ歯の使用感を確認し、咬み合わせを調整しました。
8日目 約1ヶ月後、金属のバネが一部破損してしまい、修理をすることになりました。
9日目 2週間後に義歯を装着し、調整を行いました。
10日目 装着から約1ヶ月後、金属のバネがかかる歯がしみるとのことから、咬み合わせとバネの調整を行いました。
治療後の様子
患者様は最初、金属のバネが見えないノンクラスプデンチャーを希望されていました。しかし、左上は3本分の入れ歯となるため片側だけのコンパクトな設計が難しい状況でした。
そこで、長く使えて修理可能な金属床をご提案したところ、「できる範囲で金属は見えないようにしてほしい」とのご希望をいただきました。入れ歯は左側の前から3番目にかかるため、見える部分はプラスチック、裏側をチタンで支える設計としました。
以前の入れ歯より大きいため違和感はあるものの、チタン素材のため軽く、取り外しも問題なくできているとのことでした。
患者様は趣味で歌を歌われることから、見た目をとても気にされていましたが、金属が見えるのは右側のわずかな部分のみで、仕上がりに非常に満足しているとおっしゃっていました。

主な副作用・リスク
装着時の違和感:
・入れ歯の使用時は違和感を覚えることがあります。
食べ物が詰まる:
・入れ歯と歯ぐきの間に隙間があるため、食べ物がつまります。
プラスチックの劣化:
・使用したプラスチックのバネは経年的に劣化していきます。
バネの変形や破損:
・バネが緩くなることあり、定期的に調整が必要です。細いバネの部分が折れることがあります。
金属床の特徴
今回患者様が選択された金属床(きんぞくしょう)の入れ歯とは、入れ歯の土台部分に金属を使用した義歯のことです。金属には主に「ゴールド(金・白金加金)」「チタン」「コバルトクロム」の3種類がありますが、今回はチタンを使用しました。
チタンを使用した金属床のメリットとデメリットは、以下のとおりです。
金属床のメリット
・バネの材質は、表側にプラスチックを使用することもできるため、自然な仕上がりとなります。
・チタンは非常に軽く、薄いため、違和感を少なくできます。
金属床のデメリット
・金属を使用するため、治療費用が高くなります。
・歯と歯ぐきの境目を覆うため、プラークが溜まりやすく、虫歯のリスクが高まります。
・プラスチックの変形が起こると緩くなることがあります。金属のバネは調整が可能です。
・取り扱いには細心の注意を払う必要があり、強い力を加えると変形や破損の原因になることがあります。
センター南デンタルクリニックでは、治療を進めるにあたり、1回の治療時間、治療回数まで、できる限り患者様ひとり一人の希望に沿った形で進めていけるように配慮しています。
治療内容や方針に疑問があれば、遠慮なくご相談ください。十分にご理解、納得された上で治療をすすめてまいります。
センター南デンタルクリニック
院長 吉竹絵里
こちらもご参照ください。
