【症例】強度に優れたジルコニア修復治療と歯周病治療

2025.12.01
| 治療内容 | ジルコニアを用いた修復治療 |
|---|---|
| 期間 | 2週間 |
| 治療回数 | 2回 |
| 費用(施術当時の料金) | ジルコニアの詰め物 88,000円(税込) |
治療前の状態・主訴
患者様は奥歯の銀歯が外れたため、白い詰め物で治したいとのことで来院されました。また、歯周病と言われたことがあり、歯ぐきの状態も含めて診てほしいとのことでした。
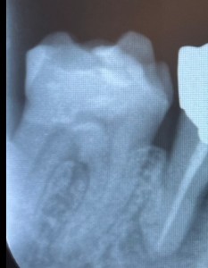
パノラマエックス線撮影と主訴である右下の口腔内エックス線撮影を行いました。



治療詳細
1日目 パノラマエックス線検査、虫歯の有無の確認、歯周病の検査を行いました。
日々のお口のケアについてアドバイスしながら歯垢や歯石を除去していきます。
主訴である右下の修復治療も進めていきました。
虫歯を取り除き、プラスチックで裏層し、型取りを行います。
2日目 ジルコニアを接着性のセメントで装着します。

治療後の様子
治療直後は少し沁みていた様子でしたが、今は落ち着いており、違和感もないとのことでした。
今回、外れた詰め物の修復治療だけではなく、虫歯の有無の確認、歯周病検査と治療を受けることができ、安心できたとおっしゃっていました。

主な副作用・リスク
・噛み合わせの違和感:
装着した直後は噛み合わせの高さや形態が合わず、違和感がでることがあります。
・脱離、破損:
外力によって外れたり、歯ぎしりによって、一部または全てが欠けることがあります。
奥歯には強度を重視した材質を
奥歯は噛む力が強くかかる部位のため、強度と耐久性に優れた材質を選ぶことが重要です。ジルコニアは、セラミックスと比べて10倍の硬さを持つと言われています。
その特徴をまとめました。
1.強度や耐久性が高い
金属と比べられるほど高強度であり、セラミックよりも割れにくいのが特徴です。
2.虫歯が再発しにくい
銀歯は、酸に弱く、歯との間に隙間ができ、その隙間から虫歯が再発する可能性があります。
また、歯ぐきの黒ずみ、金属アレルギーを引き起こすおそれがあると言われています。
銀歯(金銀パラジウム合金)の身体への危険性により、スウェーデンやドイツでは歯科治療への使用が一部禁止されています。
一方ジルコニアは、酸に強く、経年劣化しにくいので、虫歯が再発しにくいとされています。妊婦さんやお子様、金属アレルギーの方でも安心して使用できる素材です。
3.審美性に優れている
金属のように歯ぐきの変色(黒ずみ)を引き起こすことはありません。
歯周病を予防するために
歯周病は、歯と歯ぐきの間にある「歯周ポケット」という溝からはじまります。歯周ポケットに歯周病の原因菌が住みつくと、歯ぐきが腫れたり、やがて骨が溶けていきます。これらの変化は、原因となる細菌に対する身体の免疫反応によって生じるものです。歯周病の治療は、原因となる細菌数を減らすことにより、病気の進行を防いでいきます。
センター南デンタルクリニックでは、初診時に、パノラマエックス線検査と歯周病の検査(歯周ポケットの深さ、歯の揺れ、歯垢の付着度合い)を実施しています。検査結果を聞いていただき、歯垢や歯石の除去(細菌を減らす)を行います。
パノラマエックス線検査は、エックス線の透過度の違いにより、歯や骨といった硬組織が白く映ります。エックス線の透過性から骨の形を知ることができます。
歯周病の検査(歯周ポケットの深さ、歯の揺れ、歯垢の付着度合い)において、歯周ポケットの検査時に歯ぐきから出血がある場合、歯周ポケットに歯垢が溜まり、歯周病が進行しやすい状態と言えます。
以上のように、定期的にお口の原因菌を減らすことが歯周病の進行を予防することにつながります。
センター南デンタルクリニックでは、患者様の悩みやご要望を聞き、おひとりお一人の生活習慣など様々な視点からお口全体の状態を分かりやすく伝えています。患者様が納得された上で治療をすすめてまいりますので、どうぞお気軽にご相談ください。
センター南デンタルクリニック
院長 吉竹絵里
こちらもご参照ください。
センター南デンタルクリニック|セラミック治療
センター南デンタルクリニック|歯周病治療
